Single Implant Restoration
Figure 12 & 13
Figures 12 and 13 show the same patient. You can see how thin his bone was pre-implant in the CT scan (Fig 10). Dr. Kim added bone graft to this treatment to remedy this.
Due to massive bone loss, the bone graft did little to give vertical bone height. Through the use of gum porcelain, we were able to gain an appropriate height for the crown despite this severe recession of the bone (Fig 11). The patient can now smile wide with confidence.
Figure 14
Figure 14 is a #12-26 implant supported bridge. The patient had severe periodontal disease coupled with teeth that were migrated and erupted up from the gums. The teeth were quite misaligned, but we were able to finish this case with everything in the straight line.
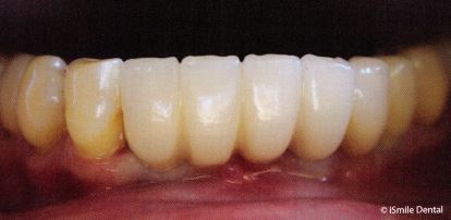
Figure 15 & 16
Figure 15 is a a #7-10, 4-unit bridge supported by two implants. The patient was extremely happy with the results of the upper arch that they went on to restore the lower #22-27 with Dr. Kim.
The bridge (Fig 16) on the lower was also supported by two implants.
Figures 17
Due to the large overjet in the upper, we adopted a slight labial inclination in the lower to compensate. This lessened the appearance of the overjet and brought a better harmony to the patient’s smile.
The final result of both the upper and lower restoration is shown in Figure 17.
Figures 18
Figure 18 is the #7-11 porcelain fused to zirconia implant bridge that was finished for a long time partial denture user. Due to all the excess gum tissue creating a flabby mound of flesh, the patient sought alternatives to the removable.
However, the severe bone loss left Dr. Kim with a thin, knife edge alveolar ridge which provided for a challenging ridge augmentation. After several augmentations, Dr. Kim was able to successfully place the implants, but we were still left with the problem of gaining vertical bone height.
To remedy this cosmetically, we added gum porcelain to compensate for loss in height while keeping the teeth size at a more normal height.







