Single Implant Restoration
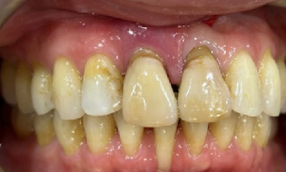
Before
- When patient was a teenager, both #8/#9 tooth fell out of socket
- Dentists did root canals on both teeth extraorally and re-inserted into socket
- #8 root horizontal fracture
- Both u1s showed root resorption
- HTE: #8 horizontal root fracture at bone level
- Failed root coverage surgery on #25
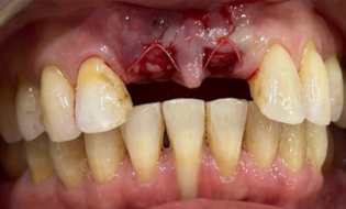
2nd surgery:
After
Figure 7
Figure 7 depicts a #9 implant crown.
The patient broke the tooth in a game. At the time of the consultation, the tooth was barely hanging on by a thin sheet of buccal enamel so Dr. Kim suggested an extraction and an implant supported all ceramic crown.
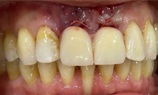
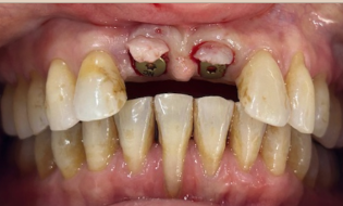
Figure 8
Figure 8 shows the patient just before the custom abutment was installed at the cementation appointment.
The patient was especially concerned about the aesthetic of the final restoration and the temporary restoration they would have while waiting for osseointegration.
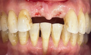
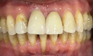
Figure 9
To assuage their concerns, Dr. Kim affixed the patietn’s natural #9 to #8 and #10 as a temporary after implant placement (Fig 9). As a single central incisor case for such a young and particular patient, had our lab meticulously match the shade and stain during a custom shade appointment to ensure that the patient was happy with the color match.
Figures 10 & 11
Figures 10 and 11 are a couple more cases which show our single incisor restorations which are notoriously difficult to get aesthetically right.











